審美歯科

審美歯科

審美歯科とは、見た目の美しさを保つ為の歯科治療です。

当院では、薬剤によって歯を白く輝かせて見せるホワイトニングを行なっております。ホワイトニングとは、歯を削らず、美しい白い歯になる”歯の漂白”のことです。当院では歯を傷めない薬剤を選び、術後の処置まで十分にケアを行いますので安心してご来院ください。

永井歯科室のホワイトニングは医院で行なうオフィスブリーチングと自宅で行なっていただくホームブリーチング両方に対応した、デュアルホワイトニングです。

ただし、ブリーチに適さない症例、口腔内の状態では施術をさせていただかないこともあります。

初めてのホワイトニング

01. 痛みを抑えられます

歯を白くする為に専用の薬剤を歯に塗布していきますが、その薬剤が歯に付着すると火傷を起こす場合があります。従来の治療方法では、シリコンゴムを歯茎に装着して防ぐ必要が有り、歯茎に痛みを感じる事がありましたが、当院のホワイトニングはその必要が無い為、痛みを抑えられます。

02. 白さとともに明るくなります

ホワイトニングは1回の治療で効果が現れます。単純に白くなるだけではなく、自然な明るさを伴った透明感のある輝きを手に入れることができます。

03. 表面もつるつるになります

歯に付着している細菌や、ステインなどの表面に付着している汚れも取りますので、歯がつるつるになります。舌触りもとても気持ちよくなるのでお勧めです。

歯を削ることなく自然な白さを手に入れることが出来るのもホワイトニングの特徴です。

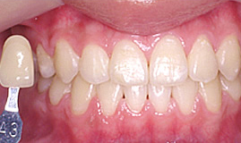
BEFORE
初めてのホワイトニング
AFTER
初めてのホワイトニング

ホワイトニングは、歯を削らずに白くすることができます。1度の処置にてA3からA1に白く改善しています。

【主な症状】黄色っぽく、くすんだ歯を白くしたい
【治療内容】デュアルホワイトニング
【治療期間・回数】 1週間・1回
【治療料金】
デュアルホワイトニング(ホームホワイトニング+オフィスホワイトニング)35,000円(38,500円 税込) ※自費診療となります。
【治療のリスク・副作用】歯に白斑(白いまだら模様)が出る可能性があります。痛みや知覚過敏が起きる可能性があります(数日で改善することがほどんどです)。歯ぐきが一部白くなる可能性があります(数日で改善することがほどんどです)。

※治療期間・料金は症状によって異なりますので、詳しくは当院までお問い合わせ下さい。
※改善には個人差があります。

治療費について

デュアルホワイトニング 38,500円(

(オフィスホワイトニング+ホームホワイトニング)

※治療期間・料金は症状によって異なります。

まずはお気軽にご相談下さい。

ホワイトニングの治療は、自費診療となります。

当院では患者様と相談しながら、最良の治療を目指します。

治療名:デュアルホワイトニング
治療の説明:オフィスホワイトニングとホームホワイトニングを同時に行う方法。より効果的に歯を白くできます。オフィスホワイトニングは、歯科医院内で行うホワイトニング。歯の表面に薬剤を塗り、光を照射して歯を白くする方法です。ホームホワイトニングは、自宅で行うホワイトニング。歯科医院で専用マウスピースを作り、自宅にてそのマウスピースにホワイトニングの薬剤を流し込んで数時間装着します。
治療期間・回数:1~2週間、1回
治療のリスクや副作用:歯に白斑(白いまだら模様)が出る可能性があります。痛みや知覚過敏が起きる可能性があります(数日で改善することがほどんどです)。歯ぐきが一部白くなる可能性があります(数日で改善することがほどんどです)。
治療の価格:35,000円(38,500円 税込) ※自費診療となります。

セラミック治療について

自然な見た目や口元の印象を大切にしたい方へ向けて、さまざまなタイプのセラミック治療をご用意しています。歯の状態やご希望に合わせて、最適な方法をご提案します。

セラミック治療について
セラミッククラウン

セラミッククラウン

歯全体をセラミックで覆う方法で、見た目と強度のバランスに優れています。金属を使わないメタルフリー素材を選べば、自然な透明感に近づけやすく、口元が気になる方や、しっかり噛める状態を目指したい方に適した治療です。

セラミックインレー・アンレー

部分的なセラミック(インレー・アンレー)

むし歯で削った部分だけを、セラミックの詰め物で補う治療です。金属の詰め物に比べて自然な見た目に仕上げやすく、二次むし歯のリスク管理をしながら機能的な回復を目指せます。

べニア治療(ラミネートべニア)

歯の表面をわずかに整え、薄いセラミックシェルを貼り付ける方法です。歯の色・形を自然に整えやすく、前歯のすき間や変色が気になる方にも選ばれています。削る量が少ないため、歯への負担が比較的少ない治療です。

ラミネートべニア

部分矯正 × セラミックでより自然な仕上がりへ

歯並びの気になる部分は部分矯正で整え、その後セラミックで形や色を仕上げることで、より自然で美しい口元に近づけることができます。患者さまのご希望とお口の状態に合わせ、複数の方法を組み合わせたご提案も可能です。